Patient Eligibility Guide
Am I A Candidate
for TULSA PROTM?
TULSA-PROTM is not suitable for everyone. Understanding your eligibility for treatment is the first step toward making an informed decision about your prostate cancer care. This guide outlines the key qualifications and requirements.
Primary Candidacy Criteria
The ideal TULSA-PROTM candidate meets specific medical and diagnostic criteria that ensure safe and effective treatment outcomes.
Cancer Stage & Risk Level
Men with localized low- or intermediate-risk, non-metastatic prostate cancer are ideal candidates. High-risk prostate cancer on a selected basis.
- Gleason grade group 1, 2 or 3
- Gleason grade group 4 or 5 on a selected basis
- Non-metastatic prostate cancer
PSA Levels
PSA levels of 20 ng/mL or lower yields best results.
.png?width=132&height=132&name=PSA%20(180%20x%20180%20px).png)
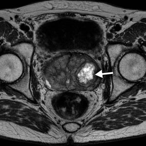
MRI Visibility
MRI visible tumors allow for greatest treatment precision. TULSA-PROTM relies on real-time MRI guidance for precise targeting and minimal collateral damage.
Tumor Location
The tumor is located ideally within a treatable distance from the urethral probe location to ensure effective ultrasound energy delivery and precise ablation of cancerous tissue.
Medical Requirements
Beyond cancer characteristics, patients must meet specific medical and physical requirements for safe treatment.
Required Documentation
- Prostate MRI and other images
- Biopsy reports
- PSA and laboratory history
- Overall health status and office notes
- Medical history
- Current medications and allergies

Patients interested in TULSA-PROTM must be screened by an MRI professional before entering the MRI environment to ensure safety and compatibility.
MRI Compatible
Patients must be able to safely undergo MRI procedures. No MRI-incompatible metal implants, pacemakers, or devices.
Anesthesia Eligible
Candidates must be able to undergo general anesthesia or sedation safely, as TULSA-PROTM is performed while the patient is comfortable inside an MRI machine.
Any Age
Patients of any age who prioritize their functional status may choose minimally-invasive TULSA-PROTM therapy.
Who is Not a Suitable Candidate?
Certain anatomical and physical conditions may not allow TULSA-PROTM therapy.
Prostate and Prosthetic Implants
- Prior prostate implants such as UroliftTM implants can complicate the TULSA procedure.
- Pacemakers, often placed for non-prostate reasons, can be unsafe for MRI-based surgery.
- Orthopedic implants such as hip replacements can affect eligibility for TULSA-PROTM.
Large Prostatic Calcifications
Calcifications can affect safety and results. Detailed analysis performed by Dr. Hong before the procedure.
Urethral Strictures
A narrowing of the urethra can prevent insertion of the TULSA-PROTM device.
Tumors Near Critical Structures
Tumors located very close to the urinary sphincter or neurovascular bundles may results in increased collateral damage. Comprehensive analysis performed by Dr. Hong before the procedure.
Special Considerations
1
Metastatic Cancer
TULSA-PROTM is not considered a cure for metastatic prostate cancer, though selected men have undergone TULSA-PROTM in special situations.
2
Eligibility Varies
Depending on experience and surgeon comfort with tumor aggressiveness, some patients deemed not a TULSA-PROTM candidate at one center may be considered a candidate with Dr. Hong. Detailed pre-procedure analysis and planning is key.
3
The Choice is Yours
Some patients may have certain priorities such as maintaining erectile function over other outcomes. Dr. Hong carefully considers your treatment goals before TULSA-PROTM procedure day.
Insurance Coverage
TULSA-PROTM coverage is variable nationwide. TULSA-PROTM is self-pay with Dr. Hong.
Ready to Learn More?
The ideal TULSA-PROTM candidate is well-informed and has a clear understanding of the benefits and limitations of TULSA-PROTM technology.
Your Path to Precision: from Candidate to Cure
The most important step is ensuring the right fit.
Discover our straightforward 5-step process designed to confirm your eligibility and guide you safely through the TULSA Procedure.